Therapeutic Dentistry: Fundamentals and Techniques
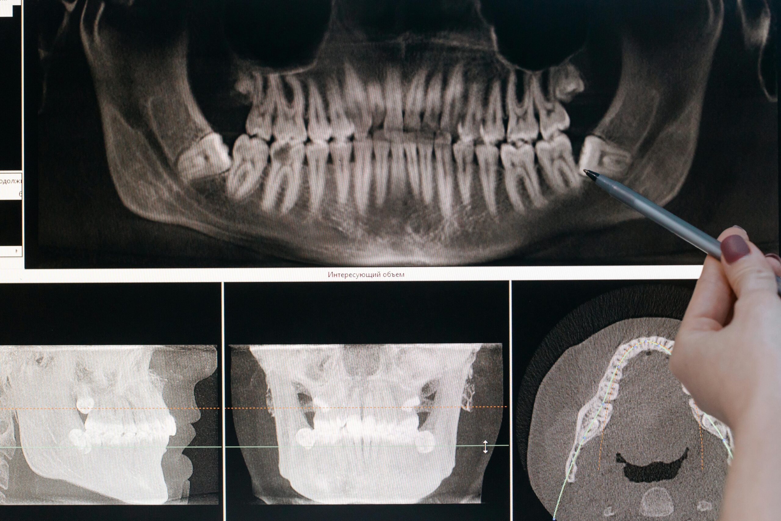
Therapeutic Dentistry: Fundamentals and Techniques Therapeutic dentistry is a foundational branch of dentistry focused on the prevention, diagnosis, and treatment of diseases affecting teeth and soft tissues of the oral…
